A lovely Hungarian Vizsla came into our practice recently with what appeared to be a stubborn case of conjunctivitis – but left with a very unusual diagnosis!
He came in to see us after having a sore eye for a couple of weeks. While it had started off mild, despite the owners’ best efforts to soothe the eye at home, it was gradually getting worse so warranted a trip in to us at South Moor Vets.
On initial examination things didn’t look too alarming. His eye was uncomfortable, reddened and had a creamy discharge. Using an ophthalmoscope, the internal structures of his eye were examined and all appeared to be normal. His nerve reflexes connected to his eye were all intact and apart from his red eye he appeared to be a healthy happy chap! However, given the ongoing irritation, I decided to take a closer look.
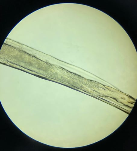
After applying local anaesthetic to the surface of the eye to make sure he was comfortable, I gently passed a sterile cotton bud behind his third eyelid (humans only have 2 eyelids, but dogs have an extra small fold of tissue in the inner corner of the eye that ‘blinks’ crossways over their eyes). To all our great surprise on the tip of the cotton bud was a small, wriggling worm!! A second sweep revealed another! Both worms were gently removed and no others were found. To make sure no damage had been done to the eye I placed a stain which glows bright green if there are scratches or ulcers. Thankfully the worms hadn’t caused any deeper injuries.

The dog was sent home the same day with appropriate worm treatment and a gel to treat the secondary conjunctivitis. But the story doesn’t end there!
Later that afternoon our fantastic reception team, Laura and Georgia, went above and beyond. As eyeworms aren’t native to the UK they managed to arrange free surveillance testing through the Animal and Plant Health Agency (APHA). With the owners’ consent the worms were packed up and sent to the lab for testing.
A few days later the diagnosis was confirmed - Thelazia callipaeda, an eyeworm usually found in parts of Asia, Southern and Eastern Europe.
The missing puzzle piece - the dog had recently enjoyed a holiday in the South of France with his owners. This is the most likely source of infection. The good news is that, while unpleasant, Thelazia callepaeda is completely treatable and our young Vizsla is now well on the road to recovery. But this case does show the risks presented by animals travelling across borders more and more these days and how new diseases can be imported into the UK.





Comments
This article has no comments yet. Be the first to leave a comment.